patient concern: gaps and discoloration on front tooth
Kids Before & After
Your Smile, Your Way
Invisalign First is designed specifically for children ages 6–10
who still have a mix of baby and permanent teeth.
Your child’s smile is still growing—and early guidance can make a lifelong difference. At Dublin Metro Dental, Dr. Sadineni offers Invisalign First®, a modern, comfortable way to guide jaw and teeth development without metal braces.
Brianna's Invisalign Transformation
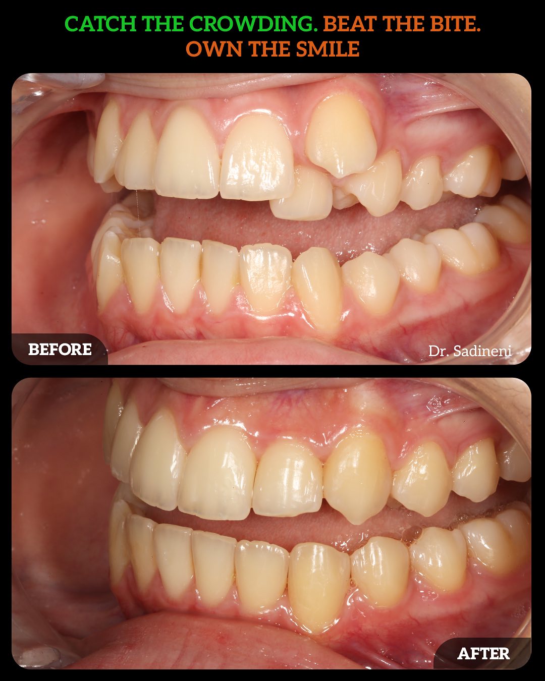
patient concern: crooked teeth , lateral inc. pushed in




Daisy Invisalign Transformation
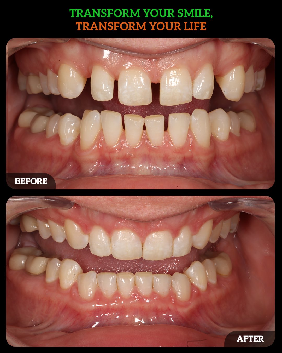
patient concern: gaps and discoloration on front tooth



Ashley's Invisalign Transformation
patient concern: gaps and deep bite




Morgane Invisalign Transformation
patient concern: gaps and discoloration on front tooth






Drew's Invisalign Transformation
patient concern: gaps and discoloration on front tooth



Jay Invisalign Transformation
patient concern: gaps and discoloration on front tooth



Arush Invisalign Transformation
patient concern: gaps and discoloration on front tooth






If you’re wondering whether your child needs early orthodontic treatment, you’re not alone. Invisalign First is designed to guide growing smiles at the right time — making future treatment easier and more effective.
FREQUENTLY ASKED QUESTIONS
Here are the most common questions parents ask at Dublin Metro Dental:
⏱️ How long does Invisalign take for Kids?
- Average treatment time: 6–18 months
- Aligners are changed every 1–2 weeks
- Must be worn 20–22 hours per day
👉 Teens who wear aligners consistently often finish faster and with better results.
😬Does Invisalign hurt?
Invisalign is generally more comfortable than braces, but your teen may feel:
- Mild pressure for a few days when switching aligners
- Slight tightness as teeth begin to move
👉 This is normal and means the treatment is working.
🍕 Can my Kideat normally with Invisalign?
Yes! That’s one of the biggest advantages.
- Aligners are removed while eating
- No food restrictions (unlike braces)
- Just brush before putting aligners back in
👉 Your teen can still enjoy all their favorite foods.
⏱️How many hours per day do I need to wear Invisalign?
For best results, adults should wear aligners 20–22 hours per day, removing them only to eat, drink, brush, and floss.
🪥How do I clean my Invisalign aligners?
- To keep your aligners clear and odor-free:
Rinse them with lukewarm water - Brush gently with a soft toothbrush
- Use Invisalign cleaning crystals or approved cleaners
- Avoid hot water, which can warp the plastic
📱 What if my Kid forgets to wear their aligners?
Consistency is key for success.
If aligners aren’t worn enough:
- Treatment may take longer
- Results may be less predictable
👉 Invisalign Teen includes compliance indicators (blue dots) to help track wear time.
🏫 Will Invisalign affect school or sports?
Not at all — in fact, it often makes life easier.
- No metal brackets (less irritation)
- Ideal for sports and instruments
- Nearly invisible for school photos and social events
👉 Invisalign fits seamlessly into your teen’s lifestyle.
💰How much does Invisalign cost for adults in Dublin, Ohio?
The cost of Invisalign varies depending on treatment complexity. At Dublin Metro Dental, we offer:
- Flexible financing options
- Monthly payment plans
- Insurance assistance
Schedule a consultation for a personalized estimate.
👶 What age should my child start Invisalign First?
Most children are evaluated around age 7, as recommended by orthodontic guidelines.
👉 This doesn’t mean treatment always starts at 7 — but it’s the best time to identify developing issues early.
Early evaluation allows us to:
- Prevent worsening problems
- Plan treatment at the ideal time
- Reduce the need for more complex care later
⚖️Why choose Dublin Metro Dental for Invisalign?
Adults throughout Dublin, Ohio trust Dublin Metro Dental because we offer:
- Advanced 3D iTero digital scanning
- Customized treatment plans
- Comfortable, modern office
- Flexible scheduling for busy professionals
- A trusted Invisalign provider